All articles
-
Campus & Community
Six from Harvard win Rhodes
Six from Harvard win Rhodes Scholarships, among only 32 students nationally selected for the prestigious academic honor.

-
Health
NFL chief talks player safety at HSPH
NFL Commissioner Roger Goodell highlighted recent moves to make the game safer and affirmed a commitment to player safety Thursday (Nov. 15) during a talk at the Harvard School of Public Health.

-
Campus & Community
Rhodes selects six Harvard students
Six Harvard undergraduates are among the 32 American men and women chosen as Rhodes Scholars on Sunday. They will begin their studies at the University of Oxford in October 2013.
-
Campus & Community
Fans make a day of it
The Game began long before the teams hit the field. Tailgaters filled the parking lots and later everyone filled the stadium as more than 30,000 people watched Harvard beat Yale, 34-24, in the 129th annual showdown.

-
Science & Tech
Ways of seeing
Harvard scientist Margaret Livingstone uses works of art to explore the workings of the brain.

-
Arts & Culture
Creating a whole from fragments
A show by artist Maria Magdalena Campos-Pons, which examines issues of family and the Afro-Latin experience in America, opened Thursday at the Neil L. & Angelica Zander Rudenstine Gallery in the W.E.B. Du Bois Institute for African and African American Research.

-
Nation & World
Souter, back on the bench
Retired Supreme Court Justice David Souter dusted off his robes to preside over this year’s Ames Moot Court Competition finals, where two teams of Harvard Law School students went head-to-head on the constitutionality of “Buy American” laws.

-
Nation & World
When ZIP code isn’t destiny
Author and educator Doug Lemov told a packed audience Thursday in the Harvard Graduate School of Education that specific, concrete techniques, readily learned, can help to transform good teachers into great ones.

-
Campus & Community
Taking a moment to give thanks
Faculty of Arts and Sciences administrators and staff gathered this week to thank co-workers and colleagues for their professionalism and thoughtfulness — and to reach out to those less fortunate in the community.

-
Campus & Community
Stars and stripes at The Game
When alumna Danielle Thiriot ’07 returns for the Harvard-Yale game (aka The Game) on Saturday, she’ll have one of the best seats in the house. Above the house, in fact, and traveling at 300 knots, about 345 mph.

-
Science & Tech
Tipping science on its head
Scientist and Princeton University President Shirley Tilghman argued for a new approach to teaching science to college students, introducing it earlier in the learning process.

-
Science & Tech
When the sky turned black
Director Ken Burns presented clips of his new documentary on the Dust Bowl at Harvard’s Boylston Hall, talking about the creative process that he uses in his films.

-
Nation & World
Beyond mourning
Former Radcliffe fellow and Mexican-born journalist Alma Guillermoprieto founded an online altar to honor 72 Central Americans massacred in Mexico in summer 2010.

-
Campus & Community
The Game: A tradition since 1875
Each year Harvard and Yale vie for bragging rights in a football rivalry dating back to 1875. Harvard vs. Yale is more than just a game. It’s The Game. For many alumni, it’s also a chance to reconnect and reaffirm friendships forged decades ago.

-
Nation & World
Law and disorder on the reservation
Tribal judges, policymakers, and scholars made the trip to Harvard Law School for a conference examining crime and punishment among Native Americans.

-
Campus & Community
Farish A. Jenkins Jr., 72
Farish A. Jenkins Jr., professor of biology, Alexander Agassiz Professor of Zoology, and curator of vertebrate paleontology at the Museum of Comparative Zoology, dies at 72.

-
Health
An experiment gone horribly awry
Victims of U.S. syphilis experiments in Guatemala are still awaiting compensation that may or may not come, even as new laws passed in the wake of 9/11 make it harder, in some circumstances, to sue disease researchers for wrongdoing, panelists at Harvard Law School said.

-
Campus & Community
President is principal for a day
President Drew Faust joined Maria Cordon, principal of the Hennigan Elementary School in Jamaica Plain on Tuesday as part of Boston’s “Principal for a Day.”

-
Nation & World
A nudge toward better outcomes
On Nov. 7, fresh from spending election night in Chicago, Cass Sunstein, the Felix Frankfurter Professor of Law at Harvard Law School, gave an audience there a peek at how the Obama administration has applied behavioral economics to regulatory decisions.

-
Science & Tech
Taking Charge with cellphones
Harvard architecture student Jeffrey Mansfield launches a project designed to combine solar power and smartphones to protect the Amazon basin, link forest entrepreneurs, and give Amazonian people a voice in the world.

-
Campus & Community
Robert Dorfman
At a Meeting of the Faculty of Arts and Sciences on November 6, 2012, the Minute honoring the life and service of the late Robert Dorfman, David A. Wells Professor of Political Economy, Emeritus, was placed upon the records. Professor Dorfman was a leader in the introduction of mathematical methods to economics in the twentieth…
-
Science & Tech
Catch and release
Researchers designed a chip that uses a 3-D DNA network made up of long DNA strands with repetitive sequences that — like the jellyfish tentacles — can detect, bind, and capture certain molecules.

-
Campus & Community
‘Having it all’ at Harvard
After an Atlantic magazine cover story launched a national debate on how women balance career and family, a group of Harvard women is continuing the conversation, and is looking for new ideas on how to make the work-life juggling act a little less stressful.

-
Campus & Community
William Kaye Estes
At a Meeting of the Faculty of Arts and Sciences on November 6, 2012, the Minute honoring the life and service of the late William Kaye Estes, Daniel and Amy Starch Professor of Psychology, Emeritus, was placed upon the records. Professor Estes made pioneering contributions to many cognitive domains over a period spanning more than…

-
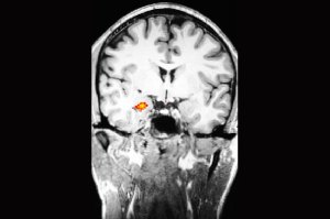
Health
Meditation’s positive residual effects
A new study has found that participating in an eight-week meditation training program can have measurable effects on how the brain functions even when someone is not actively meditating.

-
Campus & Community
Memories and beginnings
Members of the Harvard community gathered Sunday to salute the University’s war dead for Veterans Day, an event accompanied by the official institution service for Jonathan Walton, the Memorial Church’s new Pusey Minister and Plummer Professor of Christian Morals.

-
Campus & Community
Reising serves those who serve
Harvard Law School student Jesse Reising will extend the Warrior-Scholar Project to Harvard. The Warrior-Scholar Project is a two-week “academic boot camp” to help veterans transition from the military to college.



