All articles
-
Campus & Community
Under the gold and crimson dome
Located on the banks of the Charles River next to the Weeks Footbridge, Dunster House is distinguished by its gold and crimson dome, which was modeled after the tower of Christ Church at Oxford.
-
Campus & Community
Sackstein granted $17M for research
Dermatologist Robert Sackstein has been awarded a prestigious $17 million grant from the National Heart, Lung and Blood Institute of the National Institutes of Health.
-
Campus & Community
Three researchers named Runyon Fellows
The Damon Runyon Cancer Research Foundation, a nonprofit organization focused on supporting innovative early career researchers, has named 18 new Damon Runyon Fellows, including three from Harvard.
-
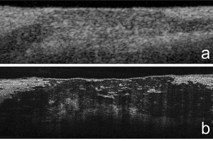
Science & Tech
A closer look at atherosclerosis
Researchers at the Wellman Center for Photomedicine at Massachusetts General Hospital (MGH) have developed a one-micrometer-resolution version of the intravascular imaging technology optical coherence tomography (OCT) that can reveal cellular and subcellular features of coronary artery disease.

-
Science & Tech
On Darwin and gender
New website opens a window onto naturalist Charles Darwin’s struggle with the complexities of gender, and illustrates how culture affects science’s vaunted neutrality.

-
Health
Cut calories, increase egg quality
A strategy that has been shown to reduce age-related health problems in several animal studies may also combat a major cause of age-associated infertility and birth defects.

-
Health
Bone loss study takes flight
When the final mission of NASA’s 30-year Space Shuttle program is launched on Friday (July 8), an animal experiment to test a novel therapy to increase bone mass will be on board. Harvard Medical School Asssistant Professor Mary Bouxsein is among the lead researchers.

-
Campus & Community
Stanton Nuclear Security Fellows announced
The Belfer Center for Science and International Affairs at Harvard Kennedy School has announced the 2011-12 Stanton Nuclear Security Fellows.
-
Campus & Community
Allston’s new sustainable Library Park opens July 7
Library Park, Boston’s newest public space, situated behind the Honan-Allston Branch of the Boston Public Library, will open on Thursday (July 7). Harvard University will host a grand opening celebration from 4 to 5 p.m.

-
Campus & Community
Winning across the pond
Four from Harvard’s heavyweight crew team defeated Oxford Brookes University to win the Prince Albert Challenge Cup at the Henley Royal Regatta on Sunday (July 3) on the River Thames.
-
Arts & Culture
Symphonies and salsa
In late May and early June the Harvard-Radcliffe Orchestra traveled to Cuba for a series of concerts in Santa Clara, Cienfuegos, and Havana.

-
Science & Tech
They dig the past
Harvard Summer School students broke ground June 29 for the biennial archaeology class investigating the long history of Harvard Yard. Students will resume the search for traces of the Harvard Indian College, where the College’s first Indian students lived and studied.

-
Nation & World
Fireworks in the voting booth
Not every child in America has the opportunity to attend Fourth of July celebrations, but those that do are prone to be more politically engaged and associate more closely with the Republican Party than their peers, concludes a Harvard Kennedy School study.

-
Campus & Community
A look inside: Kirkland House
This photo journal offers an in-depth exploration of Kirkland House.
-
Science & Tech
Pollock: Artist and physicist?
A quantitative analysis of the streams, drips, and coils of artist Jackson Pollock by a Harvard mathematician and others reveals that he had to be slow and deliberate to exploit fluid dynamics as he did.

-
Arts & Culture
When three is also one
The renovated and expanded facility of the Harvard Art Museums eventually will link the University’s collections under one roof.

-
Science & Tech
Just rewards
A Harvard University study built around an innovative economic game indicates that, at least for our younger selves, the desire for equity often trumps the urge to maximize rewards.

-
Campus & Community
HMS professor recognized for work
Margarita Alegría, professor of psychiatry at Harvard Medical School, is the recipient of the 2011 Excellence in Hispanic Mental Health Research, Advocacy, and Leadership Award from the National Resource Center for Hispanic Mental Health.
-
Campus & Community
Gates receives honor, gives lecture
Henry Louis Gates Jr., the Alphonse Fletcher University Professor and the director of the W.E.B. Du Bois Institute for African and African American Research at Harvard University, was honored with the 2011 Media Bridge-Builder Award from the Tanenbaum Center for Interreligious Understanding.
-
Health
New hope against diabetes
Results from a phase 1 drug trial by Harvard Medical School and Massachusetts General Hospital researchers showed that a decades-old tuberculosis drug knocked out the autoimmune cells that attack diabetic patients’ insulin-producing cells, followed by indications that pancreatic function was improving, albeit transiently.

-
Nation & World
2011 Harvard University Commencement Address by Liberian President Sirleaf
President of Liberia, Ellen Johnson Sirleaf, speaks at Harvard’s 2011 Commencement afternoon exercises at history Tercentenary Theater on May 26, 2011.
-
Campus & Community
2011 Harvard University Commencement Address by President Faust
President Drew Faust speaks at Harvard’s historic Tercentenary Theater during Commencement afternoon exercises on May 26, 2011
-
Campus & Community
2011 Harvard University Class Day Speech by Amy Poehler
Amy Poehler addresses the class of 2011 during Commencement week at Harvard’s history Tercentenary Theater.
-
Health
Where there’s smoke, there’s ire
Speakers at a Harvard School of Public Health conference on smoking hailed the late Sen. Edward M. Kennedy’s work to give the Food and Drug Administration new regulatory power over tobacco products and said, if wielded properly, it could prove a key weapon for better health.

-
Campus & Community
Kennedy named senior associate provost
Mary Lee Kennedy, executive director of knowledge and library services at Harvard Business School, has been named senior associate provost for the Harvard Library.





