Health
-
Hearing breakthrough holds up
Gene therapy yields lasting gains for patients with inherited deafness: ‘How well it worked is really amazing.’
-
Dangers coming from inside the house
John D. Spengler reflects on 50-year career of clearing the air — including in hockey rinks and on airplanes
-
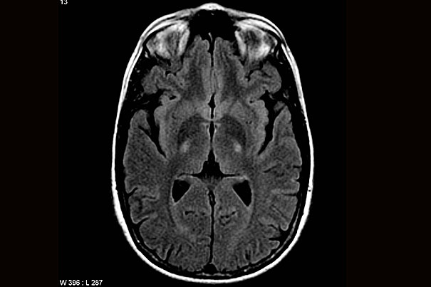
Blood test has potential to detect earliest signals of Alzheimer’s disease
New study suggests higher levels of pTau217 predict a faster progression, even when initial brain scans appear normal
-
Rural U.S. bears heaviest burden accessing dental care
Researchers find 24.7 million Americans live in dental deserts, with transportation and specialty care the steepest barriers
-
Psychedelics and the search for truth
Legal scholar sees common interests with law, religion, humanities
-
How super-agers keep their brains young
In podcast, experts break down ‘biological contradiction’ of a 65-year-old with the memory of a 25-year-old — and what that means for the rest of us
-
Added caution on pregnancy and alcohol
The Gazette spoke with Michael Charness, chief of staff for the Harvard-affiliated VA Boston Healthcare System, about the CDC’s recommendations to sexually active woman of childbearing age: either use birth control or don’t drink.
-
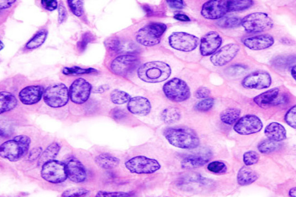
Alzheimer’s insights in single cells
A study of plaque production at single-cell level holds promise to help improve Alzheimer’s treatment.
-
New drug target for Rett syndrome
Rett syndrome is a relatively common neurodevelopmental disorder, the second most common cause of intellectual disability in girls after Down syndrome. Building on 2004 findings, Harvard researchers identified a faulty signaling pathway that, when corrected in mice, improves the symptoms of Rett syndrome.
-
Topical treatment on hand for liver spots
Massachusetts General Hospital researchers are working on a topical treatment that may be available for those with seborrheic keratosis (SK), or liver spots. SKs vary in color from tan to black, can be flat or raised, and range in size from quite small to an inch or more across.
-
A cancer’s surprise origins, caught in action
Researchers have found that cancer begins after activation of an oncogene or loss of a tumor suppressor, and involves a change that takes a single cell back to a stem cell state. They believe this model may apply not only to melanoma, but to most if not all cancers.
-
Potential diabetes treatment advances
Researchers at MIT’s David H. Koch Institute for Integrative Cancer Research, in collaboration with scientists at the Harvard Stem Cell Institute and several other institutions, have developed an implantable device that in mice shielded insulin-producing beta cells from immune system attack for six months — a substantial proportion of life span.
-
$28M challenge to figure out why brains are so good at learning
Harvard’s John A. Paulson School of Engineering and Applied Sciences, Center for Brain Science, and Department of Molecular and Cellular Biology have been awarded more than $28 million to develop advanced machine learning algorithms by pushing the frontiers of neuroscience.
-
Dance that adapts to disabilities
A Graduate School of Education alumna brings her family history into the dance studio as she teaches children with disabilities the art of movement and the rewards they can reap.
-
Oral contraceptives don’t increase risk of birth defects
Oral contraceptives taken just before or during pregnancy do not increase the risk of birth defects, according to a new study by researchers from the Harvard T.H. Chan School of Public Health and the Statens Serum Institut in Denmark.
-
Closer to detecting when and why blood clots form
A research team at the Wyss Institute has developed a novel microfluidic device in which blood flows through a lifelike network of small “vessels.” Using automated pressure sensors and a proprietary algorithm, the data acquired is analyzed in real time and precisely predicts when a certain blood sample will obstruct the blood vessel network.
-
Strength in movement
Scientists gave little thought to the neurological effects of dance until relatively recently, when researchers began to investigate the complex mental coordination that dance requires.
-
When one twin gets cancer, other faces higher risk
A large new study of twins has found that a person whose twin is diagnosed with cancer stands an increased risk of also developing a form of cancer.
-
COPD, asthma now can be studied outside the body
A multicomponent, microfluidic small airway-on-a-chip model provides new opportunities to study human lung inflammatory disorders such as chronic obstructive pulmonary disease (COPD) and asthma, and to test preclinical drug candidates outside the human body.
-
Researchers help cells forget who they are
Scientists identify a molecular key that helps cells maintain identity and prevents the conversion of adult cells into induced pluripotent stem cells — a process that would require a cell to “forget” its identity before assuming a new one.
-
How to be your best in 5 minutes
Harvard Business School social psychologist Amy Cuddy explains how tapping into our inner strength can help us make the most of life’s big challenges.
-
A brain link to autism
Using a visual test that is known to prompt different reactions in autistic and normal brains, Harvard researchers have shown that those differences were associated with a breakdown in the signaling pathway used by one of the brain’s chief inhibitory neurotransmitters.
-
Metastasis study illuminates how cancer will ‘hijack’ healthy cells
A study from Brigham and Women’s Hospital offers a new view of how cancer cells extend their reach, co-opting and transforming normal cells through “metastatic hijacking.” The researchers also found that in preclinical models, pharmacological intervention can prevent this from occurring.
-
Human-gut-on-a-chip model offers hope for IBD sufferers
In a new study, the Wyss Institute’s human-gut-on-a-chip technology is used to co-culture gut microbiome and human intestinal cells, which could spur innovation of novel therapies for inflammatory bowel diseases.
-
Building calm into the day
The Center for Wellness at Harvard University Health Services sponsors a range of meditation options for students.
-
Chemical flavorings found in e-cigarettes linked to respiratory disease
A Harvard study links chemicals used in flavored electronic cigarettes to cases of severe respiratory disease.
-
Positive sign in America’s food fight
Frank Hu, a professor of nutrition and epidemiology at the Harvard T.H. Chan School of Public Health and the principal investigator of the diabetes component of the landmark Nurses’ Health Study, responded to the latest Center for Disease Control and Prevention findings in an interview with the Gazette.
-
Deep dive
The Harvard Museum of Natural History opens a new marine life gallery, which uses the seas off New England as a lens for learning about marine life around the world.
-
Wild ambition at the Arboretum
The Arnold Arboretum is seeking some 400 different species around the world to add to collections.
-
Patterns of obesity prove resilient
The Harvard Chan School’s Walter Willett discusses recent findings on obesity, blood pressure, and smoking.
-
Shedding light on dark adventures
Robert Ballard, director of the University of Rhode Island’s Center for Ocean Exploration and president of the nonprofit Ocean Exploration Trust, returned to the roots of his love affair with the sea, notably an early reading of “Twenty Thousand Leagues” and a childhood move to San Diego.
-
An indictment of Ebola response
An independent group of 20 international experts has issued a scathing analysis of the global response to the 2014-15 Ebola outbreak in West Africa.
-
The fading of polio
Faculty and student panel examines efforts to make polio the second human disease to be eradicated during the “Every Last Child” event at Radcliffe.
-
On top of the flu
A team led by Harvard statistician Samuel Kou has devised a new system for tracking flu outbreaks in real time.
-
Taking care on painkillers for kids
Harvard addiction specialist on FDA’s OxyContin OK: We have to respond to both patients and population health, a tricky task.
-
Neurons reprogrammed in animals
Harvard Stem Cell Institute researchers have shown that the networks of communication among reprogrammed neurons and their neighbors in the brains of living animals can also be changed, or “rewired.”