Health
-
Hearing breakthrough holds up
Gene therapy yields lasting gains for patients with inherited deafness: ‘How well it worked is really amazing.’
-
Dangers coming from inside the house
John D. Spengler reflects on 50-year career of clearing the air — including in hockey rinks and on airplanes
-
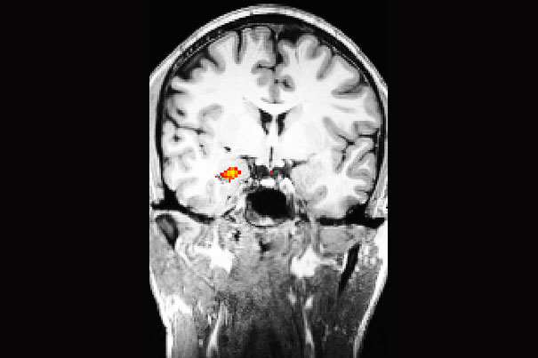
Blood test has potential to detect earliest signals of Alzheimer’s disease
New study suggests higher levels of pTau217 predict a faster progression, even when initial brain scans appear normal
-
Rural U.S. bears heaviest burden accessing dental care
Researchers find 24.7 million Americans live in dental deserts, with transportation and specialty care the steepest barriers
-
Psychedelics and the search for truth
Legal scholar sees common interests with law, religion, humanities
-
How super-agers keep their brains young
In podcast, experts break down ‘biological contradiction’ of a 65-year-old with the memory of a 25-year-old — and what that means for the rest of us
-
Sweet feat
New research by Harvard scientists shows how hummingbirds evolved a novel mechanism of taste.
-
Spread of multiple myeloma halted in mice
In an advance against cancer metastasis, scientists at the Harvard-affiliated Dana-Farber Cancer Institute have shown that a specially developed compound can impede multiple myeloma in mice from spreading to the bones.
-
Weapons for battling viruses
Bangladesh has used stepped-up surveillance, an understanding of transmission routes, and expert advice on cultural and traditional practices to devise interventions against Nipah, an Ebola-like virus with a high mortality rate.
-
All goes swimmingly
Using simple hydrodynamics, a team of Harvard researchers was able to show that a handful of principles govern how virtually every animal — from the tiniest fish to birds to the largest whales — propel themselves through the water.
-
Deadly violence a natural tendency in chimps, study finds
A new study shows that chimps engage in violent and sometimes even lethal behavior regardless of human effects on local ecology.
-
The communications gap on vaccines
Panelists at the School of Public Health called for a stronger communications effort by physicians to counter misinformation on vaccines.
-
Diabetes’ genetic variety
Harvard researchers working at the Broad Institute of MIT and Harvard have uncovered nine rare genetic mutations that dramatically increase the risk of developing type 2 diabetes. The discovery of the mutations highlights the dizzying genetic diversity of a disease rapidly spreading around the world.
-
Undermining leukemia
A Harvard Stem Cell Institute study comparing how blood stem cells and leukemia cells consume nutrients found that cancer cells are far less tolerant of shifts in their energy supply than their normal counterparts. The results suggest there could be ways to target and kill cancer cells without affecting healthy cells.
-
Ebola’s ripple effects
The fight to end the Ebola epidemic is not just about saving lives, it’s also about heading off a potentially broader humanitarian crisis, according to a Harvard Kennedy School panel.
-
Linking ‘natural mutants’ and evolution
Researchers uncovered a variety of features in the genomes of five species of African cichlid fish that enabled them to thrive in new habitats and ecological niches. The findings from these “natural mutants” shed new light on the molecular process of evolution in all vertebrate species.
-
Three decades of treating trauma
For 30 years, the Victims of Violence program at Harvard-affiliated Cambridge Health Alliance has been a force in trauma care.
-
From chance meeting, a chance to save lives
Harvard scientists have developed a new test for sickle cell disease that provides results in just 12 minutes and costs as little as 50 cents — far faster and cheaper than other tests.
-
Forces of isolation
Research led by a Harvard biologist demonstrated a method for measuring the strength of selection in favor of reproductive isolation.
-
U.S. diet shows modest improvement
Dietary quality in the United States has improved steadily in recent years, but overall dietary quality remains poor and disparities continue to widen among socioeconomic and racial/ethnic groups, according to a new study from the Harvard School of Public Health.
-
Ebola genomes sequenced
A team of researchers from the Broad Institute, Harvard University, and elsewhere has sequenced and analyzed dozens of Ebola virus genomes in the present outbreak. Their findings could have important implications for rapid field diagnostic tests.
-
Erasing traumatic memories
Researchers at Harvard-affiliated McLean Hospital are reporting that xenon gas, used in humans for anesthesia and diagnostic imaging, has the potential to be a treatment for post-traumatic stress disorder (PTSD) and other memory-related disorders
-
Of books, trees, and knowledge
In the Hunnewell Building is the Arnold Arboretum Horticultural Library, whose books, papers, and photographs ― stored near living collections of many of the same plants they describe ― draw scholars from around the world.
-
When cooperation counts
A new study conducted by Harvard scientists shows that in deer mice, a species known to be highly promiscuous, sperm clump together to swim in a more linear fashion, increasing their chances of fertilization.
-
Fewer clinics, less care
The protective gear needed to get Sierra Leone’s health clinics reopened, coupled with public education about the Ebola epidemic, are the greatest areas of need, according to a Harvard Fulbright Fellow and physician from Sierra Leone.
-
Sense of scents
A new study sheds light on the extent to which animals can make distinctions among scents.
-
Understanding Ebola
Though the threat to the U.S. population from the Ebola outbreak in West Africa is low, the need in epidemic countries is great, says Michael VanRooyen, director of the Harvard Humanitarian Initiative.
-
Drug delivery system prevents transplant rejection
In pre-clinical studies conducted by the researchers, a one-time, local injection of the hydrogel-drug combo prevented graft rejection for more than 100 days. This compared with 35.5 days for recipients receiving only tacrolimus, and 11 days for recipients without treatment or only receiving hydrogel.
-
Enemy of ash
The Gazette spoke with Arboretum officials about the recent arrival of the emerald ash borer.
-
Neurons at work
Using genetic tools to implant genes that produce fluorescent proteins in the DNA of transparent C. elegans worms, Harvard scientists have been able to shed light on neuron-specific “alternative splicing,” a process that allows a single gene to produce many different proteins.
-
Progress against ALS
Studies begun by Harvard Stem Cell Institute scientists eight years ago have led to a report that may be a major step in developing treatments for amyotrophic lateral sclerosis, or Lou Gehrig’s disease.
-
Viral load as an anti-AIDS hammer
Harvard researchers have joined with counterparts in the U.S. and Botswana governments to conduct a major evaluation of AIDS treatment targeted specifically to reduce infectivity.
-
New hope for ‘bubble boy’ disease
Children born with so-called “bubble boy” disease have the best chance of survival if they undergo a hematopoietic stem cell transplant as soon after birth as possible, according to a detailed analysis of 10 years of outcome data by researchers at the Harvard-affiliated Dana-Farber/Boston Children’s Cancer and Blood Disorders Center.
-
Help for halting autism symptoms
A new study shows that boosting inhibitory neurotransmission early in brain development can help reverse deficits in inhibitory circuit maturation that are associated with autism.
-
New treatment for depression shows immediate results
In a study at Harvard-affiliated McLean Hospital, individuals with major depressive disorder or bipolar disorder who received low-field magnetic stimulation (LFMS) showed immediate and substantial mood improvement.
-
Cheese-based research
Bauer Fellow Rachel Dutton has identified three general types of microbial communities that live on cheese, opening the door to using each as a “model” community for the study of whether and how various microbes and fungi compete or cooperate as they form communities, as well as what molecules and mechanisms are involved in the process.